What is Dental Composite Bonding?
Dental composite bonding is a cosmetic procedure that uses tooth-colored resin to repair and improve the appearance of teeth, addressing issues like chips, cracks, and discoloration. Learn more about our cosmetic dentistry services.

How Does It Work?
The process involves:
- Preparation: The dentist etches the tooth surface for better adhesion.
- Application: A resin is applied and shaped.
- Curing: A UV light hardens the resin, and the tooth is polished to match the surrounding teeth.
What Are the Benefits?
- Aesthetic Improvement: Quickly enhances your smile. See how dental bonding transforms smiles.
- Quick and Convenient: Typically done in one visit.
- Cost-Effective: More affordable than crowns or veneers. Check our cosmetic dental costs.
- Natural Look: Resin matches your teeth color.
- Minimal Discomfort: Usually painless, often no anesthesia needed.
Who Should Consider It?
Ideal candidates include those with:
- Chipped or cracked teeth
- Small gaps between teeth
- Discolored teeth
- Exposed tooth roots

Are There Limitations?
- Durability: Less durable than porcelain.
- Not for Severe Cases: This may not be suitable for extensive damage. Read about the disadvantages of teeth bonding.
- Maintenance Needed: Regular oral hygiene is essential. Learn more about our general dentistry procedures.
What’s the Cost?
Costs range from $300 to $600 per tooth. Insurance may cover some expenses if deemed necessary. Get a cost estimate for our services.
Aftercare Tips?
- Practice Good Oral Hygiene: Brush and floss regularly. Read about maintaining dental health.
- Avoid Hard Foods: Protect bonded areas.
- Schedule Check-Ups: Regular visits help maintain results. Book your appointment now.
Explore Dental Composite Bonding at Hernandez Dental & Implant Center!
- What is Dental Composite Bonding? Find Out at Hernandez Dental & Implant Center in San Antonio, TX!
- Dental composite bonding is a cosmetic procedure that uses tooth-colored resin to repair and enhance the appearance of teeth, fixing issues like chips, cracks, and discoloration. Learn more about our cosmetic dentistry services.
- Is Dental Composite Bonding Right for You? Learn More at Hernandez Dental & Implant Center!
- Ideal candidates include those with minor dental imperfections, such as chipped teeth, small gaps, or discoloration. A consultation can help determine if it’s suitable for your needs. Read more about our general dentistry procedures.
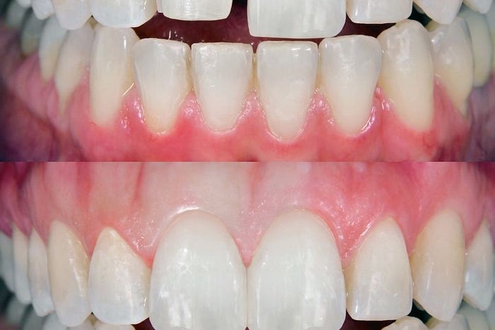
- How Can Dental Composite Bonding Transform Your Smile at Hernandez Dental & Implant Center?
- The procedure can significantly improve your smile’s aesthetics by restoring damaged teeth, closing gaps, and covering stains, resulting in a more uniform and attractive appearance. See how dental bonding transforms smiles.
- What Are the Benefits of Dental Composite Bonding? Discover at Hernandez Dental & Implant Center in San Antonio!
- Benefits include quick and painless treatment, cost-effectiveness compared to veneers, natural-looking results, and minimal invasiveness, typically completed in one visit. Check our cosmetic dental costs.
- Curious About Dental Composite Bonding? Get Answers at Hernandez Dental & Implant Center!
- Dental composite bonding is a straightforward, effective solution for enhancing your smile. Contact us for more information and to schedule a consultation! Learn about our dental services.
Conclusion
Dental composite bonding is an effective way to enhance your smile. Consult your dentist at Hernandez Dental & Implant Center to see if it’s right for you.
For more information or to schedule a consultation, call us at (210) 533–8191.
We appreciate your feedback! Please leave a review on our Google My Business page: Leave a Review.
Credit: Hernandez Dental & Implant Center
#SanAntonioDentist, #SanAntonioCosmeticDentistry, #SanAntonioDentalCare, #DentistInSanAntonio, and #SanAntonioSmile. Discover options for #SanAntonioTeethWhitening, #HernandezDentalSanAntonio, and #SanAntonioFamilyDentistry. Prioritize your #SanAntonioOralHealth with services like #SanAntonioImplants, #SanAntonioChippedTeeth, and #SanAntonioVeneers. Visit our #SanAntonioDentalClinic or consult the #SouthSanAntonioDentist for expert advice. Choose #BestDentistSanAntonio for your dental needs, including #DentalCompositeBonding and #CosmeticDentistry. Transform your smile with a #SmileMakeover while maintaining your #DentalHealth. Whether it’s #TeethWhitening, fixing #ChippedTeeth, or achieving a #HealthySmile, our focus on #OralCare ensures quality. Trust #HernandezDental for your #DentalImplants, skilled #CosmeticDentist services, and a remarkable #SmileTransformation. Join us in promoting good #DentalCare, embracing #FamilyDentistry, and don’t forget #HernandezDental&ImplantCenter!